Clinical Service/ Research
Ocular surface reconstruction using Stem cell therapy
Eye is one of the important organ of living being which is covered with highly specialized corneal limbal and conjunctival epithelial cells. Ocular surface damage induced post chemical, thermal and Steven Johnson syndrome can lead to loss of vision and other ocular ailments. Stem cell facility along with Ophthalmology conducted clinical trial and developing the autologous bioengineered cell therapy to treat ocular surface reconstruction post injury and in Retinitis Pigmentosa. Treatment with autologous bioengineered cells with various technique showed good and promising results.


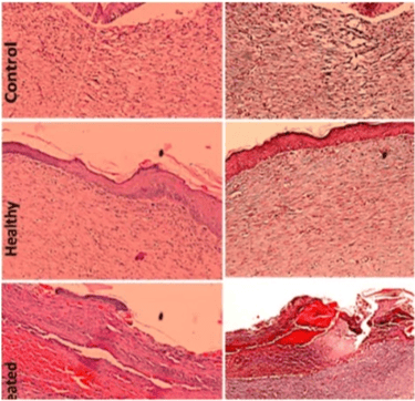
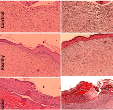
Hair follicle Stem cell therapy for the treatment of Vitiligo
Skin, the primary barrier of living beings, Vitiligo is one of the long-term skin problems in which the growing white patch will occur and skin lose their color. It can affect any age group, gender or ethnic groups. To treat this vitiligo through autologous regenerative medicine is under development and clinical trial is ongoing along with department of Dermatology. Development of Regenerative medicine from the hair follicle showed good results and re-pigmentation of skin.


Cardiology
Heart is important organ and play an important role in survival of living being. Heart failure is frequently caused by an ischemic event (e.g. myocardial infarction) but might also be caused by a primary disease of the myocardium (cardiomyopathy) etc. In order to identify and cure the failure and disease Stem cell developed autologous regenerative medicine from bone marrow and along with cardiology department the clinical trial was conducted and successfully transplanted into infarcted myocardium, left ventricular disease, non-ischemic cardiomyopathy, coronary artery disease etc. patients which showed promising and potent clinical results.


Neurology
Brain is main organ controlling all the activity and neurological function. Autologous Regenerative Medicine derived from bone marrow showed recovery of patient with cerebral palsy. In another study mononuclear cells derived from bone marrow showed regeneration of peripheral nerve. Apart from this autologous Mesenchymal Stem Cells Transplantation in chronic and subacute ischemic stroke in Indian patients during clinical trial showed better results with recovery of patients.


Hepatology
Liver, important organ and play a major role in metabolism and digestion. Stem cell therapy and Bone marrow mononuclear stem cells therapy improve the biochemical parameters in pediatric with biliary atresia.



